ORTHODONTIC BY SYMPTOM

증상별 치아교정

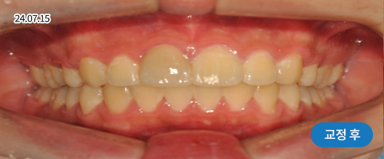
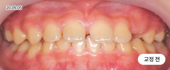
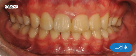
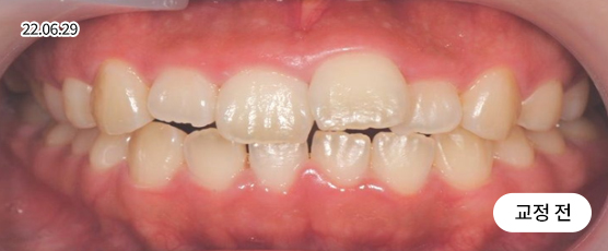
임플라인을 만나면 이렇게 달라집니다.
실력은 결과로 보여드립니다.

증상별 치아교정
실력으로 보여드리겠습니다.

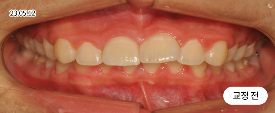
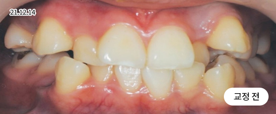
덧니교정 Solution

덧니는 악궁 크기, 얼굴형, 골격 등을 고려해 발치, 비발치를 현명하게 판단하여 치료합니다.
치아가 정렬될 공간을 확보하기 위해, 경우에 따라 소구치(작은 어금니)를 발치할 수 있습니다.

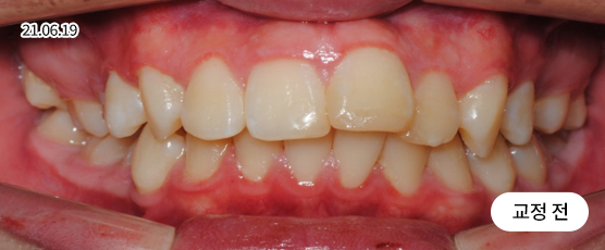
벌어진 치아교정 Solution

치아 벌어짐이 전체적으로 있는지 또는 부분(앞니 등)에만 있는지를 진단하고,
교정 장치를 부착하고 빈 공간으로 치아를 이동시켜 맞춰주는 방법으로 치료합니다.

무턱 교정 Solution

위턱은 정상이나 아래턱이 작은 경우와 위턱은 앞으로 나오고
아래턱이 정상인 경우는 외모상으로는 거의 비슷해 보이기 때문에 정확한 진단과 치료 계획이 필수적입니다.

비대칭 Solution

단순한 치아교합이 문제인 경우에는 일반적인 치아교정만으로도 치료가 가능합니다.
뼈 자체의 문제가 아닌 근육의 문제일 경우 근육량을 조절하는 방법으로 치료합니다.
심할 경우에는 하악골 절제술, 악교정 수술로 치료해야 합니다.

개방 교합 Solution

구강 내 확대 장치를 통해 악궁을 확장해 치열에 공간을 만들고
상하악 견인장치를 장착하여 위턱을 앞으로, 아래턱은 후방으로 이동시켜 치료합니다.

과개교합 Solution

하악 전방 유도장치를 통해 턱 위치를 정상화하고, 어금니 교합 면 위에 레진을 올려 좌우 교합평면의 균형을 맞춥니다.
이후 교정을 통해 치아의 배열을 가지런히 하고 교합을 맞춥니다.

매복치 Solution

매복치는 잇몸 속에서 인접 치아에 손상을 줄 수 있어
치아 견인을 통해 제자리를 찾아주어야 정상적으로 치아가 자리 잡을 수 있습니다.

* 치근흡수, 잇몸퇴축 등 부작용이 발생할 수 있습니다.
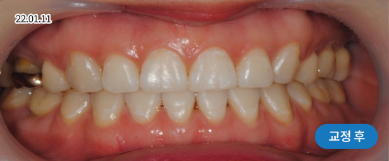
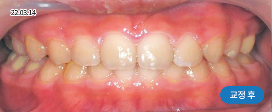
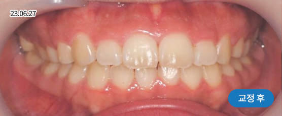
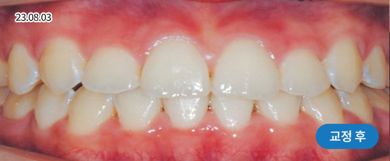
* 본 사진은 동일 조건에서 촬영되었으며, 환자 본인의 동의를 얻어 게재되었습니다.
  • 031·335·2875

    진료안내

    월요일09:30~20:00 (야간진료)
    화 ~ 금09:30~18:00
    토요일09:30~14:00
    점심시간13:00~14:00

    * 토요일은 점심시간 없이 진료합니다.
    * 일요일 및 공휴일은 휴진입니다.

    주차

    건물 지하주차장 / 금학공영주차장(처인구 용문로 140)

임플라인치과의원 용인점
대표자 : 김재현 · 사업자등록번호 : 142-90-74957
경기도 용인시 처인구 금령로 21, 2층(김량장동,메디타워) · 031-335-2875

비급여진료비안내

© 2024 임플라인치과의원 용인점. ALL RIGHTS RESERVED.